“细节决定成败,精准铸就健康” ,精准的诊断是有效治疗的前提。近日,济南市莱芜区鹏泉街道社区卫生服务中心影像科正式开展上腹部CT增强检查项目,为社区居民健康增添有力保障。


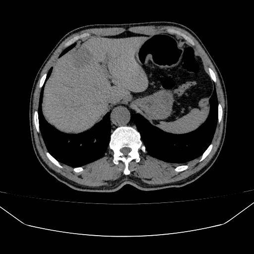
上腹部CT增强检查具备诸多显著优势。与普通CT相比,它通过注射造影剂,能让病变部位与正常组织形成更鲜明对比,哪怕是微小的病灶也难以遁形。在检查肝脏病变时,普通CT可能难以区分良性与恶性肿瘤,而增强CT则可以凭借病变部位的血液供应特点,精准鉴别肿瘤性质,为后续治疗方案的制定提供关键依据;在检测胰腺疾病时,它能清晰显示胰腺的细微结构和周围血管,有效提升早期胰腺癌的检出率,让患者获得早发现、早治疗的宝贵机会。
该检查在多种疾病的诊断中作用关键,能清晰显示肝脏、胆囊、胰腺、脾脏等器官的病变,对早期发现肿瘤、血管病变等意义重大。此前,社区居民若需此类检查,往往要前往大医院排队预约,既耗时又费力。此次影像科新服务的推出千汇网,极大地便利了社区居民,在家门口就能享受高质量的影像检查服务。
该项目的开展,是鹏泉街道社区卫生服务中心影像科提升医疗服务水平的重要举措。未来,鹏泉街道社区卫生服务影像科将继续关注居民的健康需求,积极与相关临床科室沟通,了解当前就诊人员的影像诉求,不断引入新技术、新项目,为社区居民的健康保驾护航。
鹏泉街道社区卫生服务中心医学影像科位于门诊楼负一层。

科室配备GE 1.5T磁共振、飞利浦64排CT、安健DR数字胃肠一体机等先进设备,可以开展上消化道造影、多部位X线平片拍摄、全身各部位的CT平扫、全身骨三维重建处理及磁共振多部位扫描。科室长期与济南市人民医院影像科合作交流,在开展远程会诊的同时,济南市人民医院影像科专家也定期在中心坐诊,使来诊居民在家门口即可享受到同三级医院同质化的医学影像诊疗服务。




影像科始终坚持“以病人为中心”的服务宗旨,优化服务理念,端正服务态度,为来诊居民及临床科室提供更为及时、准确、安全、有效、优异的医学影像诊疗服务。
星速配资提示:文章来自网络,不代表本站观点。